Đừng chủ quan khi sưng chân răng không đau
Đừng chủ quan khi sưng chân răng không đau

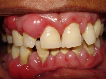
Sưng chân răng không đau là tình trạng không hiếm gặp và gây ra nhiều ảnh hưởng đến sức khỏe lẫn cuộc sống hàng ngày cho người bệnh. Phát ...

Đọc thêm »

Xoa bóp bấm huyệt chữa bệnh gì?
Xoa bóp bấm huyệt chữa bệnh gì?

Xoa bóp bấm huyệt chữa bệnh thực hiện như thế nào?  bọc răng sứ có đau hay không ? Sử dụng đúng kỹ thuật, đúng chỉ định, xoa bóp bấm huyệt ...

Đọc thêm »

Dưỡng da mặt bằng sữa chua không đường
Dưỡng da mặt bằng sữa chua không đường

Một trong những cách làm đẹp được nhiều chị em truyền tay nhau là đắp mặt nạ sữa chua không đường. Vì sao loại mặt nạ này lại được yêu thíc...

Đọc thêm »

Niềng răng kim loại bao nhiêu tiền?
Niềng răng kim loại bao nhiêu tiền?

Niềng răng mắc cài kim loại là phương pháp chỉnh nha được các chuyên gia nha khoa hàng đầu tin dùng và được nhiều khách hàng ưa chuộng nhất...

Đọc thêm »

Điểm danh các loại thức uống hỗ trợ tăng cân cho người gầy
Điểm danh các loại thức uống hỗ trợ tăng cân cho người gầy

Bạn sẽ không còn lo lắng vì cơ thể thiếu cân nữa với những loại thức uống từ trái cây mà chúng tôi giới thiệu trong bài viết dưới đây. Hãy ...

Đọc thêm »
 
 
Top